一、全身骨显像
1.全身骨显像的优势与应用
全身骨显像(又称骨扫描)在诊断骨骼疾病方面具有灵敏度高、价廉、简便等优点。一次检查就能全身显像,对全身骨骼和病变的血流、代谢情况进行评价,尤其在早期诊断恶性肿瘤是否发生骨转移更具优势,可早于X线3-18个月发现病变。按照疾病诊治专家共识,骨扫描应作为肺癌、乳腺癌、前列腺癌等恶性肿瘤患者常规检查。
临床常用于:
(1)有恶性肿瘤病史,疑有骨转移(如固定区域的骨骼疼痛或酸胀不适),尤其适用于肺癌、乳腺癌、前列腺癌及甲状腺癌等;
(2)原因不明的骨痛或不适、关节痛、碱性磷酸酶(ALP)增高者;
(3)判断原发恶性骨肿瘤累及范围,有无骨转移或复发的早期诊断;
(4)评价骨转移治疗后效果;
(5)提供骨活检定位的选择;
(6)其他骨病变,如:代谢性骨病、骨髓炎、缺血性骨坏死、移植骨等。
2.受检者准备
(1)检查前1周内不可行钡餐显影或钡剂灌肠,以免相应部位产生放射性的遮挡;
(2)为保证显像剂可以更好地分布于骨骼,建议注射显像剂后2小时内饮水500-1000mL;
(3)上机检查前排空膀胱,有助于骨盆部位病灶的观察,并且避免尿液污染衣物,可能引起假阳性表现;取出衣物内的金属物品,如项链、手镯、手表、钥匙、硬币及裤带等;
(4)检查时应保持放松,仰卧于扫描床上,体位摆放左右对称、在某一体位保持不动;
(5)检查后多饮水、排尿,避免去人群聚集的地方,远离孕妇、婴幼儿。
3.全身骨显像的原理与过程
少量(15-25mCi)骨显像剂(99mTc-MDP,一种亲骨性强、血液清除迅速的双膦酸盐)通过静脉注射入体内,显像剂进入体内后就会吸附并浓聚于骨组织,并且向外发射信号(γ射线),在体外利用显像仪(SPECT或SPECT/CT)探测这种信号而进行骨骼显像。骨扫描通常安排在注射显像剂后2-4小时,检查持续时间约20分钟。
4.全身骨显像的一些表现

正常骨显像

全身多发骨转移

超级骨显像

肺性肥大性骨关节病
二、脏器断层显像
有别于全身骨显像,脏器断层显像是对可疑病灶区域进行核医学SPECT与同机CT两种影像技术的360°图像采集再加以信息的融合,既具有核医学灵敏探查骨病灶的优势,也能借助CT获得精确解剖结构,有利于对病灶诊断与鉴别诊断,对全身骨显像有很好的补充价值。


如图所示,一位中年甲状腺癌患者,在术后常规复查全身骨扫描时,发现右侧第4后肋显像剂浓聚灶,单从骨扫描无法明确病灶的准确位置和性质(转移?骨折所致?);进一步加做胸廓断层显像(SPECT/CT)后,影像显示右侧第4后肋局部代谢增高灶,骨质欠连续,局部骨痂形成,诊断为骨折修复期改变。
三、两者综合应用
通过对以上内容的了解,我们可以得知全身骨显像虽然可以观察骨质结构的变化,但如同盲人摸象,没有局部影像对病灶部位的指示,诊断结果仍然受限,而脏器断层显像不是单纯的SPECT影像和CT影像,而是两者功能的融合影像。并且,大部分病灶的发生发展是先有骨质代谢的异常,再出现CT能看到结构异常,SPECT能较CT早发现病灶2-3个月。反之,局部脏器断层显像的检查范围有限,不如全身骨显像广泛,仅依靠骨痛主诉进行区域检查很容易漏诊病灶。所以,在临床应用中,医生时常会建议患者在行全身骨显像检查后进行脏器断层显像检查,而后结合二者影像结果对病症进行综合判断。



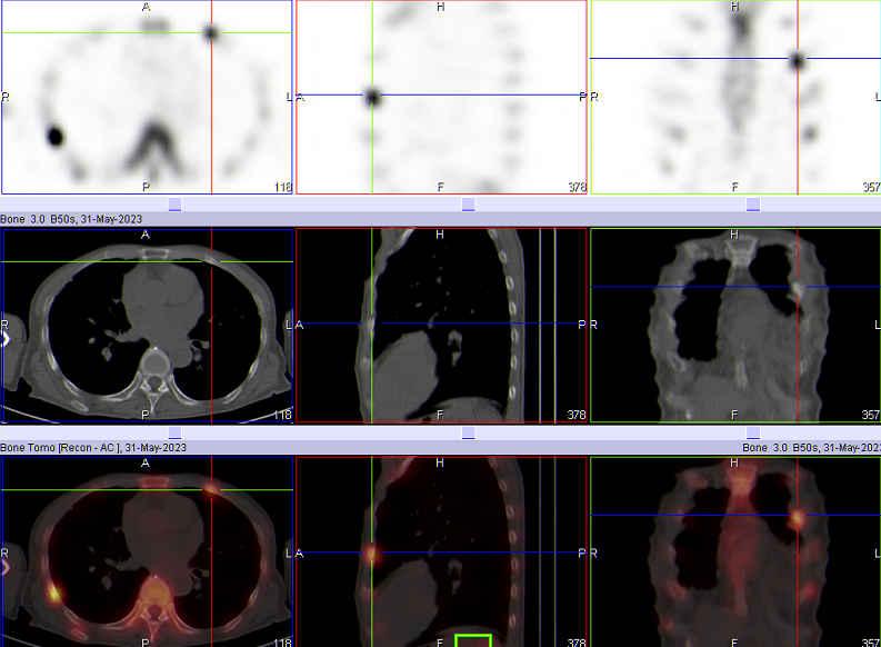
如图所示,胃恶性肿瘤患者,全身骨扫描显示:右侧第6腋肋放射性摄取增高,左侧第3-6前肋放射性摄取增高。进一步加做胸廓断层显像(SPECT/CT)后,影像显示右侧第6腋肋局部放射性摄取增高灶,肋骨骨密度增高,诊断为骨转移;左侧第3-6前肋放射性摄取增高,局部骨皮质皱褶,欠连续,诊断为陈旧性骨折。
四、小结
脏器断层显像是全身骨显像的“得力助手”,有的放矢,利于疾病的诊断。

版权所有:南京同仁医院有限公司 地址:南京市江宁经济技术开发区吉印大道2007号
邮编:211102 预约、咨询热线:400-600-0606 / 025-66989999
公安备案号:苏公网安备32011502010009号 备案号:苏ICP备10202488号-1
版权所有:南京同仁医院有限公司
地址:南京市江宁经济技术开发区吉印大道2007号
邮编:211102 预约、咨询热线:400-600-0606 / 025-66989999
备案号:苏ICP备10202488号-1
公安备案号:苏公网安备32011502010009号